Menino de 6 anos morre após contrair “ameba que come o cérebro” em parque aquático

Uma criança de 6 anos, que vinha sendo tratada de meningoencefalite amebiana primária, morreu em um hospital nos Estados Unidos, informaram nesta segunda-feira (27) as autoridades americanas.

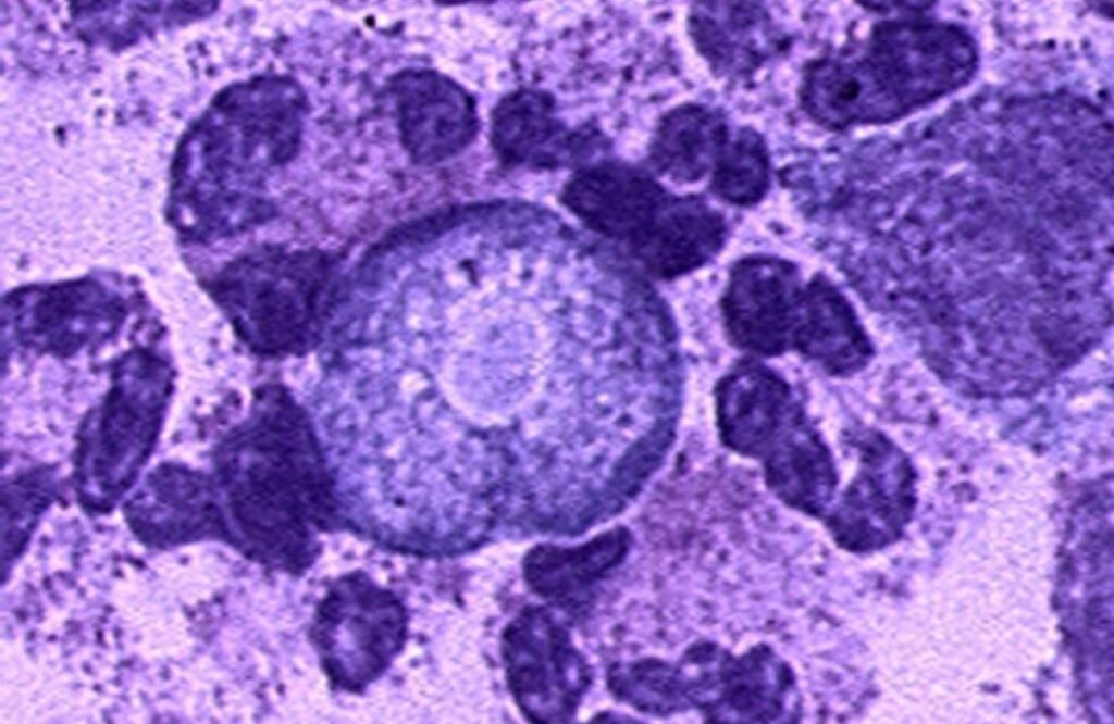
A doença é rara, mas ficou conhecida porque é causada por uma ameba, organismo de apenas uma célula, capaz de “comer” o tecido do cérebro humano.

O micro-organismo Naegleria fowleri entrou no corpo do garoto após ele brincar em um parque aquático público no estado americano do Texas.

Popularmente se diz que a ameba parasita “come cérebros”, mas ela se alimenta principalmente de bactérias presentes na água.

O que ocorre quando ela entra no corpo humano é que, como a ameba não encontra os nutrientes necessários para viver, acaba atacando células do cérebro em busca destas substâncias.

Autoridades sanitárias apontaram falhas no sistema que atesta a qualidade da água em diversos parques do estado após uma investigação iniciada em 5 de setembro, quando o garoto deu entrada no hospital. Ele morreu seis dias depois.

Autoridades sanitárias apontaram falhas no sistema que atesta a qualidade da água em diversos parques do estado após uma investigação iniciada em 5 de setembro, quando o garoto deu entrada no hospital. Ele morreu seis dias depois.

A presença da ameba em águas doces e mornas é comum, mas infecções são raras. Segundo o Centro de Controle e Prevenção de Doenças (CDC), apenas 34 casos foram relatados nos EUA na última década.

As pessoas são infectadas quando a água contendo a ameba entra no corpo pelo nariz, geralmente quando vão nadar ou mergulhar em lagos e rios.

Fonte: G1

Este site está usando Cookies

Nós os usamos para lhe dar a melhor experiência. Se você aceitar Nós usamos cookies para oferecer a melhor experiência em nosso site. Ao aceitar e continuar navegando, assumiremos que você concorda com o uso de todos os cookies, de forma transparente e em conformidade com as normas de proteção de dados, garantindo que você esteja informado sobre a coleta e utilização de suas informações de navegação.e continuar assumiremos que você está feliz em receber todos os cookies neste site